Pulse logo
Pulse Region
ADVERTISEMENT

Facts about the STD that Nakuru lady got infected with after threesome with Hope Kid, DK Kwenye Beat

All you need to know about Herpes-the STD without a cure
DK Kwenye Beat with Hopkid
DK Kwenye Beat with Hopkid

Gospel musicians Hope Kid and DK Kwenye Beat are caught up in a scandal in which they sexually took advantage of a Nakuru based lady, having a threesome with her.

Apart from the emotional scars and trauma, reports indicate that the lady contacted an STD during the harrowing ordeal and was diagnosed with herpes and human papillomavirus and will have to live with them for the rest of her life.

What is genital herpes?

Genital herpes is an STD caused by two types of viruses. The viruses are called herpes simplex virus type 1 (HSV-1) which causes oral herpes and herpes simplex virus type 2 (HSV-2) which causes genital herpes.

Recommended For You

Oral herpes can be spread from the mouth to the genitals through oral sex. This is why some cases of genital herpes are caused by HSV-1.

ADVERTISEMENT

How does one get infected with herpes-STD with no cure

Currently there is no cure for herpes. However, there are medicines that can prevent or shorten outbreaks (occurrence of symptoms). One of these anti-herpes medicines can be taken daily, and makes it less likely that an infected individual will pass the infection on to their sex partner(s).

An individual can get herpes by having any kind of sex- vaginal, oral, or anal with an infected partner.

One can also get infected with herpes if they come into contact with the herpes virus in:

    i.       A herpes sore;

ADVERTISEMENT

    ii.       Saliva (if your partner has an oral herpes infection) or genital secretions (if your partner has a genital herpes infection);

   iii.       Skin in the oral area if your partner has an oral herpes infection, or skin in the genital area if your partner has a genital herpes infection.

Information factsheet on herpes shared on CDC website reveal that one can “not get herpes from toilet seats, bedding, or swimming pools, or from touching objects around you such as silverware, soap, or towels”.

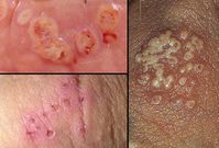
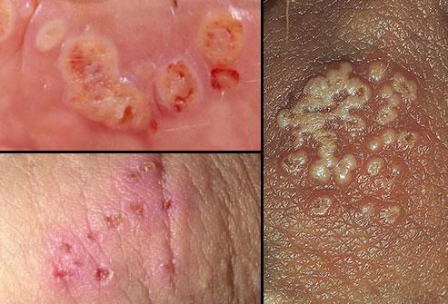
Symptoms of Genital herpes

Symptoms of Genital herpes

Symptoms

ADVERTISEMENT

Most people who have genital herpes have no symptoms, or have very mild symptoms.

The infected person may feel itchy or tingly around the genitals.

Herpes sores usually appear as one or more blisters on or around the genitals, rectum or mouth within a few weeks after catching the virus. The blisters break and leave painful sores that may take a week or more to heal. These symptoms are sometimes called “having an outbreak.” 

The first time someone has an outbreak they may also have flu-like symptoms such as fever, body aches, or swollen glands.

Reducing risk of getting genital herpes

ADVERTISEMENT

Experts advice that the only way to avoid STDs is to not have vaginal, anal, or oral sex.

However, for sexually active individuals, the following can be done to lower chances of infection:

1.    Being in a long-term mutually monogamous relationship with a partner who is not infected with an STD (e.g., a partner who has been tested and has negative STD test results);

2.    Using latex condoms the right way every time you have sex.

According to CDC, a person in a sexual relationship with a partner known to have genital herpes can lower risk of getting it by:

ADVERTISEMENT

    i.       Ensuring that the partner takes an anti-herpes medication every day. (This should be done after discussion with his or her doctor).     ii.       Avoiding having vaginal, anal, or oral sex when the partner has herpes symptoms (i.e., when your partner is having an outbreak).

Symptoms of Genital herpes

Symptoms of Genital herpes

Effects during pregnancy

Herpes infection can be passed from a pregnant person to the unborn child before birth but is more commonly passed to the infant during delivery. This can lead to a potentially deadly infection in your baby (called neonatal herpes).

Anti-herpes medicine may be administered towards the end of pregnancy. This medicine may reduce your risk of having signs or symptoms of genital herpes at the time of delivery. If symptoms of herpes are preset at delivery, a ‘C-section’ is usually performed.

ADVERTISEMENT

CDC holds that it is important for pregnant individuals with herpes to share information on any symptoms, diagnosis or exposure to herpes virus with their doctor during prenatal care visits. 

Subscribe to receive daily news updates.