By now, you already know how important oral hygiene is and that neglecting it will not only lead to bad breath but also cavities. You also know that onions and garlic are so healthy but they can leave a stench in your mouth.
But besides that, there are more surprising causes of bad breath you probably didn’t know. And you ought to know them lest you will always struggle with bad breath. Check out some more causes:
1. Dehydration
Dehydration(courtesy)
Yet another reason to drink enough water each day. The bacteria that cause bad breath thrive best in dry environments. A dry mouth thus means more bacteria.
2. Common cold
It sounds bizarre but then, the bacteria that cause bad breath like to feed on mucus. In addition, a stuffy nose prompts you to breathe through the mouth. This dries the mouth making the environment favorable for bacteria to thrive.
3. Medications
Drugs
Again, the drugs you use can also dry out your mouth. Since you can’t skip your dose, you should always stay hydrated to keep your mouth moist. Chewing sugarless gum is another option to prevent your mouth from running dry.
4. Tonsil stones
As if they are not enough trouble, they make your mouth smell too. Bacteria and food particles get trapped in them giving you bad breath. Gargling with salt water though keeps the bad breath away.
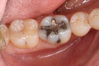
5. Cracked teeth
Cracked tooth(Rhondium)
The cracked tooth traps bacteria and food particles.
6. Skipping meals
Whether you are doing it for religious reasons or to lose weight, skipping meals triggers bad breath. How? Well, saliva is produced while you are chewing and it has microbial properties. When you skip meals, less saliva is produced leaving your mouth dry and prone to bacteria.


&format=jpeg)
&format=jpeg)
&format=jpeg)