Pulse logo
Pulse Region
ADVERTISEMENT

Simple home remedies for bleeding gums

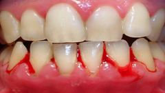
Stopping bleeding gums
Remedies for bleeding gums(Reader's Digest)
Remedies for bleeding gums(Reader's Digest)

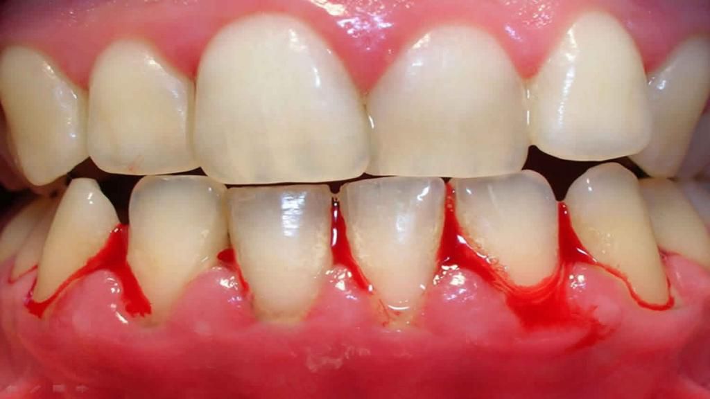
Other than being a nuisance, bleeding gums can also be painful and cause bad breath.  Bleeding gums are mostly as a result of gingivitis, a common gum disease. However, gingivitis is only an early stage of gum disease and can be treated to prevent worse situations such as tooth loss.

The best part is that you can treat bleeding gums at home with readily available ingredients. If the symptoms persist despite using the home remedies, always seek help from a medical expert. Try out these easy home remedies:

1. Saltwater

Bleeding gums(Health Jade)

Bleeding gums(Health Jade)

Recommended For You

You can never go wrong with salt. It has antiseptic qualities and also helps in treating inflamed gums. The antiseptic features will address the bacteria present in your gums. Boil the water and let it sit for some minutes. Once it’s lukewarm, add salt and stir. After brushing your teeth, rinse your mouth with the salt water. Do this thrice a day until you see results.

ADVERTISEMENT

2. Aloe Vera

Aloe Vera(courtesy)

Aloe Vera(courtesy)

This wonder plant has several home uses and one of it is treating bleeding gums. Swirl the juice in your mouth three times a day. Aloe Vera has antibacterial features that enhance the healing process of the gums.

3. Oil pulling

This is an ancient method used to treat bleeding gums at home. It involves swirling oil in your mouth for up to 20 minutes. This helps to fight plaque and reverse gingivitis. Use edible oils like olive, coconut, sunflower or sesame oil and drink a glass of water before brushing your teeth.

ADVERTISEMENT

4. Baking soda

Baking soda(courtesy)

Baking soda(courtesy)

Make a paste using baking soda and water and massage it on your gums before brushing your teeth. The alkalinity of baking soda neutralizes the acidity caused by bacteria in the gums.

Subscribe to receive daily news updates.