Pulse logo
Pulse Region
ADVERTISEMENT

Why some people have black gums

What’s the color of your gums?
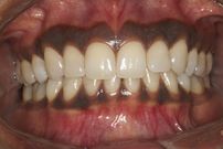
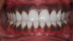
Black gums(Chrysalis Dental Centres)
Black gums(Chrysalis Dental Centres)

Most people have pink gums. Others though have dark gums while some have reddish ones. Black gums may not seem like a big deal but some people really get conscious especially when they have to smile.

But why do some people have black gums really? Here are some reasons:

1. Melanin

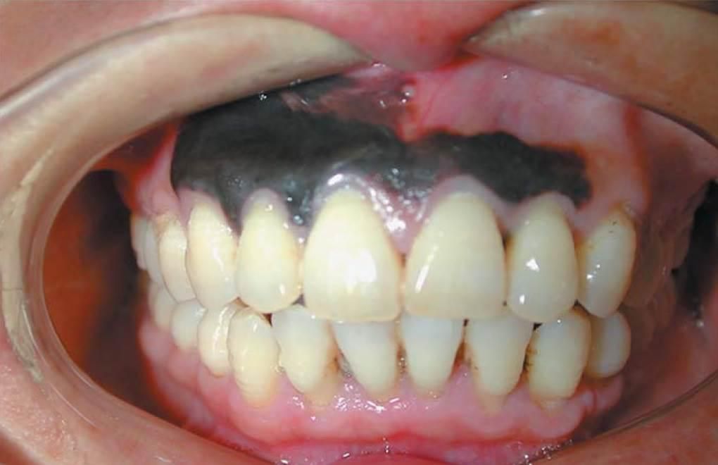
Dark gums(forum.dentalxp)

Dark gums(forum.dentalxp)

Recommended For You
Lifestyle
2025-10-17T06:35:53+00:00
Since the news of his passing, and with the arrival of his body in the country, the mourning for former Prime Minister Raila Odinga has been shaped by a blend of expressive national grief and deep-rooted cultural traditions. These customs, primarily from his Luo heritage, provide a framework for a communal expression of loss, honour, and farewell for a figure of his stature.
Members of the Odinga family pay their respects to former Prime Minister of the Republic of Kenya, the late Raila Odinga
Lifestyle
2025-10-13T07:05:48+00:00
The daily gridlock tests everyone's patience, leading to the disruptive practice of 'overlapping' and driving on the wrong side. For Honourable Members, however, there are more efficient and prudent ways to navigate the city.
Nairobi traffic

The more the melanin your body produces, the darker your skin and hair will be. The melanin also affects other areas of your body such as your eyes and gums. To some people, dark gums are natural and totally normal and no need to get concerned about them.

ADVERTISEMENT

2. Smoker’s melanosis

This condition is not uncommon among smokers. Melanocytes are cells in our bodies that produce melanin. The nicotine present in tobacco triggers the melanocytes to produce excess melanin leading to discoloration of gums. Quitting smoking will hence not only be good for your liver but also for your oral health.

3. Medicine

Medicine(kutv)

Medicine(kutv)

Most drugs have side effects and some drugs affect the teeth and the gums. If you had pink gums but have since turned dark after using certain medication, talk to your doctor for alternative medication.

ADVERTISEMENT

4. Acute necrotizing ulcerative gingivitis

This is a gum infection that can lead to painful gums, bad breath as well as brown or black gums. If dead tissues accumulate on the gums, they turn black. Early symptoms to watch out for this disease include painful gums, bad breath, and bleeding. Your dentist can, however, treat you.

5. Addison’s disease

Hyper-pigmentation of the gums(NBC News)

Hyper-pigmentation of the gums(NBC News)

It’s not a common disease but once you have it, it causes hyper-pigmentation. Some parts of your body such as knees, elbows, knuckles, lips, and gums become darker than normal. The disease affects hormone production and can lead to severity if not treated early enough. Other symptoms to watch out for Addison’s disease include; loss of appetite, weight loss, fatigue, unusual thirst, and weakened muscles.

ADVERTISEMENT

Subscribe to receive daily news updates.